河南雨林教育工程有限公司为您免费提供
植物包埋标本
,植物叶缘类型标本,植物生物切片等相关信息发布和资讯展示,敬请关注!
服务热线
135-2506-9160
网站首页
关于我们
产品中心
新闻中心
在线商城
联系我们
Previous slide
Next slide
热门搜索:
标本模型
实验标本厂家
生物切片
当前位置:
网站首页
>
产品中心
>
湖北生物玻片
>
湖北人体病理切片
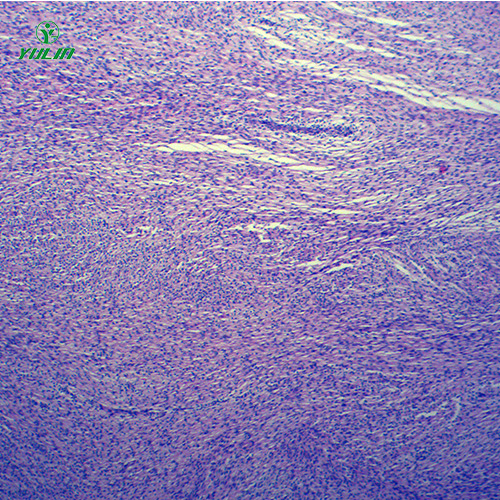
湖北人体肿瘤病理玻片
产品详情
来源:
http://hubei.yulinedu.com/product864182.html
时间:2023-01-05
上一个:
湖北中药植物全草叶横切
下一个:
湖北放线菌生物玻片
相关标签:
人体病理切片,人体肿瘤病理玻片,人体肿瘤病理玻片价格
相关新闻
2026-03-17
湖北标本模型与传统生物标本相比,有哪些独特优势?
2026-03-10
湖北生物标本定格生物形态,搭建教学与自然的桥梁
2026-03-03
湖北生物切片的制作工艺,如何影响微观观察的效果?
2026-02-24
湖北益虫标本保留益虫原始形态的标本,用于科普与教学
相关产品
湖北炎症病理玻片
湖北人体心血管及呼吸系统疾病玻璃玻片
湖北人体细胞组织损伤病理切片
湖北人体局部血液循环障碍病理玻片
135-2506-9160
手机扫一扫浏览网站
点击留言